Mục đích của khám tầm soát là để phát hiện ung thư vú sớm, tìm ra các tế bào ung thư trước khi chúng có các triệu chứng. Phát hiện càng sớm tỷ lệ điều trị thành công và duy trì sự sống càng cao.
Ung thư vú (UTV) là bệnh ung thư hay gặp nhất ở phụ nữ và là nguyên nhân gây tử vong thứ hai sau ung thư phổi tại các nước trên thế giới. Theo Đài Quan sát Ung thư Toàn cầu (Globocan), trong năm 2020, thế giới có 2,26 triệu bệnh nhân nữ được ghi nhận mắc UTV và 685.000 ca tử vong. Ung thư vú là nguyên nhân phổ biến nhất gây tử vong do ung thư ở phụ nữ và là nguyên nhân phổ biến thứ năm gây tử vong do ung thư nói chung.
Tại Việt Nam, theo nghiên cứu gánh nặng bệnh ung thư và chiến lược phòng chống ung thư quốc gia đến năm 2020 cho thấy UTV là bệnh có tỷ lệ mới mắc cao nhất trong các ung thư ở nữ giới. Ung thư vú chiếm 25,8% bệnh ung thư ở nữ giới với hơn 21.555 ca mắc mới và 9.345 ca tử vong.
Nếu như tỷ lệ sống sau 5 năm ở giai đoạn rất sớm đạt 98% thì ở giai đoạn cuối tỷ lệ này chỉ còn khoảng 10%. Với sự tiến bộ trong sàng lọc, chẩn đoán, bệnh ung thư vú có thể chẩn đoán sớm và điều trị khỏi.
UNG THƯ VÚ LÀ GÌ?
Ung thư vú là căn bệnh trong đó các tế bào ác tính phát triển trong các mô của vú. Những tế bào này thường phát sinh từ các ống dẫn hoặc tiểu thùy ở vú. Sau đó, những tế bào ung thư có thể lây lan trong các mô hoặc tuyến vú và các bộ phận khác của cơ thể.

PHÂN LOẠI
Có nhiều loại ung thư vú khác nhau:
- Ung thư vú chớm phát (hay UTV xâm lấn)
- Ung thư biểu mô ống dẫn sữa tại chỗ (hay UTV không xâm lấn)
- Ung thư vú biểu mô tiểu thùy tại chỗ
- Ung thư vú thứ phát
Một số dạng đặc biệt của ung thư vú như: Bệnh Paget, ung thư vú dạng viêm, ung thư vú trong thời gian mang thai và cho con bú, ung thư vú hai bên.Các phương pháp điều trị ung thư vú tùy thuộc vào loại ung thư vú mà bạn mắc phải như phẩu thuật, hóa trị, xạ trị, liệu pháp trúng đích và liệu pháp miễn dịch.
DẤU HIỆU PHỔ BIẾN
70% các trường hợp ung thư vú khám phát hiện thấy: khối u đơn, không căng, cứng chắc, với bờ khó xác định. Tuy nhiên tới 90% khối u được phát hiện bởi chính người bệnh, nhất là những khối u nhỏ < 1 cm.Những dấu hiệu phổ biến của ung thư vú bao gồm:
- Vùng da ngực bị bong vảy, đóng vảy hoặc dày lên
- Sưng một phần hoặc toàn bộ vú
- Thay đổi hình dạng vú
- Vùng da ngực bị lõm
- Khối u, đau ở nách, sưng hạch bạch huyết
- Đỏ, da sần vỏ cam, thay đổi kết cấu da
- Ngứa da liên tục
- Tiết dịch không rõ nguyên nhân
- Núm vú co lại
- Thay đổi hình dáng của núm vú
Các triệu chứng ít gặp hơn là đau vú, tiết dịch. Phát hiện muộn hơn, nhất là khi khối u lớn > 5 cm thì có thể thấy khối u co kéo da và núm vú, vú to lên, da giống cam sành, đau, khối u dính vào da hay thành ngực, khám hố nách thấy có hạch. Thậm chí có loét, hạch trên đòn, phù tay, di căn xương, phổi, gan, não.
YẾU TỐ NGUY CƠ
Các yếu tố gia tăng nguy cơ mắc ung thư vú bao gồm:
– Yếu tố di truyền: tiền sử gia đình có mẹ, con gái, chị, em gái bị ung thư vú
– Mang đột biến gen BRCA1, BRCA2– Tuổi cao ≥ 40 tuổi
– Người có tiền sử chiếu xạ vùng ngực
– Phụ nữ hành kinh sớm (trước 12 tuổi) và mãn kinh muộn (sau 55 tuổi)
– Phụ nữ mang thai muộn (>30 tuổi), không mang thai, không cho con bú
– Những người mắc bệnh béo phì, hút thuốc lá
– Tiền sử mắc bệnh ung thư: vú, buồng trứng, nội mạc tử cung…
PHÒNG NGỪA UNG THƯ VÚ
Mục đích của khám tầm soát là để phát hiện ung thư vú sớm, tìm ra các tế bào ung thư trước khi chúng có các triệu chứng. Phát hiện càng sớm tỷ lệ điều trị thành công và duy trì sự sống càng cao.Theo thống kê tại Hoa Kỳ, tỷ lệ sống 5 năm của bệnh nhân UTV năm 2012, giai đoạn 0 và I: 100%; giai đoạn II: 93%; giai đoạn III: 72%; giai đoạn IV: 22% và ngày càng được cải thiện.Nhằm tầm soát tốt các bệnh liên quan đến vú đặc biệt là ung thư, nữ giới có thể thực thiện các thao tác tự kiểm tra hoặc đến các bệnh viện, trung tâm y tế.
– Tự kiểm tra vú: Tự kiểm tra vú hàng tháng để phát hiện các khối u hay bất cứ sự thay đổi nào trong vú.
Cách thực hiện: Phụ nữ có thể tự khám vú của mình khi đứng trước gương hoặc ở tư thế nằm. Với phụ nữ còn kinh nguyệt nên khám vú vào ngày thứ 7 sau chu kỳ kinh (lúc này tuyến vú mềm nhất).
Đầu tiên là đứng trước gương quan sát 2 bên tuyến vú xem có đều nhau không, màu sắc da tuyến vú có chỗ nào bất thường hay không, kiểm tra các dấu hiệu bất thường như co kéo da vú, núm vú. Tiếp đó, dùng tay phải kiểm tra vú trái và ngược lại. Dùng 4 ngón tay xoa đều xung quanh ngực xem có khối u cục nào ở tuyến vú hay không, nặn núm vú phát hiện dịch tiết núm vú bất thường, sờ các hạch quanh nách, hạch thượng đòn, hạch cổ.

– Khám vú lâm sàng: Bác sĩ chuyên khoa sẽ kiểm tra hình dạng, kích thước, màu sắc da tuyến vú, núm vú tìm các dấu hiệu bất thường để xem có các khối u hay tình trạng bất thường nào không.
– Siêu âm tuyến vú: giúp tăng khả năng phát hiện ung thư vú đặc biệt ở những trường hợp có mô vú đặc.
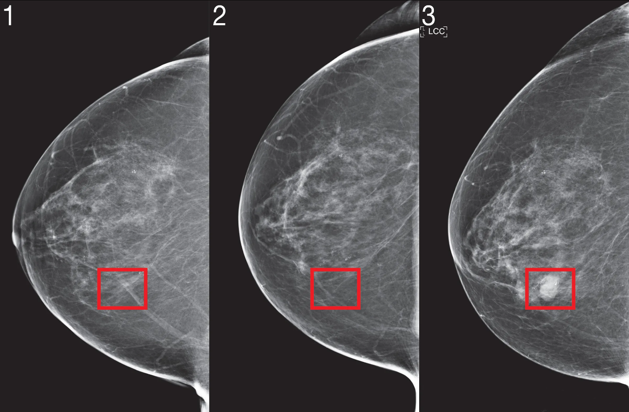
– Chụp nhũ ảnh: Chụp nhũ ảnh có thể phát hiện các khối u ở vú trước khi chúng có thể được cảm nhận.
– Cộng hưởng từ tuyến vú (MRI): Được chỉ định trong một số trường hợp đặc biệt như: ung thư vú liên quan đến đột biến gen BRCA ½, những người có tuyến vú đặc, nghi ngờ tổn thương ung thư vú đa ổ, những người có hạch nách bất thường, phụ nữ đặt túi ngực…
– Chọc hút tế bào, sinh thiết u dưới hướng dẫn của siêu âm tuyến vú: Xét nghiệm tế bào học hoặc sinh thiết u vú, hạch thường được thực hiện dưới hướng dẫn của siêu âm hoặc mammography định vị.
Phụ nữ ở độ tuổi 20 – 30 cần khám vú lâm sàng 3 năm một lần và có thể tự kiểm tra vú hàng tháng. Ở độ tuổi ngoài 30, phụ nữ nên khám vú hàng năm 1-2 lần, tự kiểm tra vú hàng tháng, siêu âm, chụp X-quang vú hàng năm.
BS.CKII. Trương Quốc Chương
—————————————————
🚩 Lô 10, KCN Tân Đức, xã Đức Hòa Hạ, huyện Đức Hòa, tỉnh Long An
💌 Email: info@benhvientantao.com – benhvientantao@gmail.com
🌏 Website: https://benhvientantao.com
TIN TỨC KHÁC
Các bệnh về vú thường gặp ở phụ nữ
Viêm khớp dạng thấp: Triệu chứng, nguyên nhân, biến chứng và phòng ngừa
Tiêu chảy ở trẻ em: Những điều cha mẹ cần biết
Điều trị thành công cho bệnh nhân dọa phù phổi cấp, tăng huyết áp, suy tim độ III

